Type 2 Neutral Orthotic
The Arches® line of Orthotics by Foot Scientific provides the perfect balance of correction, comfort, and performance for both the athlete and the lay user. The materials surpass comfort of most custom...
FLAT FEET / PRONATION: SOLUTION FOOT SCIENTIFIC TYPE 1 INSOLES
Flatfoot, or more commonly known as Flat Feet, is the most common condition associated with bottom arch pain. Pronation is the natural movement of your foot while walking. The movement...
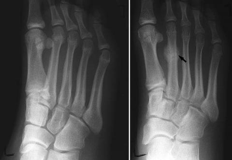
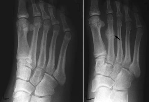
STRESS FRACTURES
STRESS FRACTURE STRESS FRACTURES A Stress Fracture is an injury to the foot bones that happens over time due to overuse instead of a sudden, sharp blow. It is...
PLANTAR FASCIITIS PLANTAR FASCIITIS Foot Pain
At JGH Rehab, we stock and sell Foot Scientific products, that can be the solution to your Foot Problem(s) Over the next several days we will be explaining the different...
Neuroplasticity, What you need to know.
Neuroplasticity, What you need to know, even the foods you should be eating.
Shoulder Subluxation After Stroke:
SHOULDER SUBLUXATION AFTER STROKE: Shoulder subluxation is a common post-stroke complication affecting up to 80% of the stroke subjects . The glenohumeral joint is multiaxial and has a wider range of motion...
How to safely walk up and down stairs Part 2
ATTENTION: Here is a advanced video showing how to walk up and down stairs safely. However, we caution that going up and down stairs following a Stroke or other damage...
Can't lift a stiff leg. Try this.
Can’t lift a stiff leg? This is a pretty common problem Post Stroke, ABI, TBI, and anyone living with MS or ALS, that has a few different root causes. Knowing...
Advanced Balance Retraining: Prevent falls and restore balance confidence
Advanced Balance Retraining: Prevent falls and restore balance confidence. Watch this video and improve your Balance!! For every level of Recovery. If you need a Foot Brace to help...
Vertigo BBPV Symptoms, Causes and Treatment.
One day in August 2020, I suddenly felt lightheaded and off balance. It felt like I was walking on marbles, making walking nearly impossible. Being four years post strokes, we...
How to climb steps safely Part 1, Post Stroke
Great video on how to go up and down stairs safely Post Stroke. Part 1
How do you go up and down stairs safely? - YouTube
HEEL STRIKE, WALK BETTER AFTER A STROKE
HEEL STRIKE. Walk better after a Stroke. While at Toronto Rehab, my PT Team really concentrated on my walking pattern, being sure that I was moving my leg correctly, and...












